Before and After!
So grateful to be able to share these amazing results! Along with using our products, a huge part of getting results is proper diet and oral habits! We also suggest that you are monitored by a dentist whether traditional or holistic.
Tooth Puddy
Tooth Puddy
Tooth Puddy
Primal Puddy
Four days... just passing on the truth of what I was told.
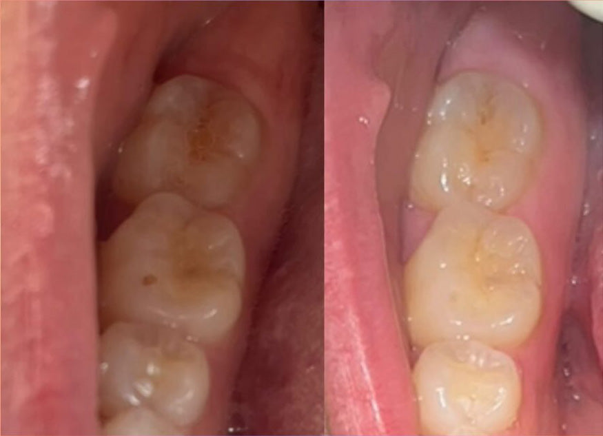
Tooth Puddy & Remineralising toothpaste
After is on the right! They said the spot is now hardly visible in person.
Serum, Tooth Puddy, & the Toothpaste
Appreciate this customer for taking the time to send these in!
Primal Puddy
Tooth Puddy
Tooth Puddy & the Orange Toothpaste
Tooth Puddy
Serum, Tooth Puddy, & the Toothpaste
Tooth Puddy
Tooth Puddy
Tooth Puddy
Top photo is from March & bottom is from June!
Tooth Puddy
They have been using the puddy only at night!
Tooth Puddy
Tooth Puddy
Tooth Puddy
This is after 2 months of puddy use!
Tooth Puddy
A few weeks using the puddy! The tooth was treated with SDF - treatment done by some dentists that turns the decay black and is supposed to stop it from progressing
Tooth Puddy
Tooth Puddy
This is after two weeks!
Tooth Puddy
20 day difference between top and bottom!
Tooth Puddy
Top is before and bottom is after a couple weeks of use. The decay is starting to harden and become less crumbly.
Tooth Puddy
Isn’t it incredible to see how one by one the teeth are filling in?
Tooth Puddy
Crazy progress for only a week!
Tooth Puddy
Tooth Puddy
Tooth Puddy
There is some glare, but it is still apparent that the bottom is starting to fill in and becoming less orange and yellow.. not so soft as it was above!
Tooth Puddy
Tooth Puddy
Didn’t make any dietary changes! So seems like the puddy was the final straw to push them into healing!
Tooth Puddy
Tooth Puddy
Tooth Puddy & Toothpaste
Toothpaste in the evening and then applied puddy which was left on overnight
Tooth Puddy
This is with two months of using!
Tooth Puddy
This is with two months of using!
Tooth Puddy
This sweet mama wanted to share to give others hope! Amazing how the body can heal when we gift it what it needs!
Tooth Puddy, Toothpaste, & Bone Renewal
Tooth puddy once per day, the toothpaste morning and night, and the bone renewal 1x per day!
Tooth Puddy & Iodine
Dentist-confirmed before and after! This took approx 3 months! They used the putty and iodine 2 times a week.
Looking for product reviews?
We love these before and after photos, but if you are looking for actual product reviews, please go to the product pages, to find extensive reviews on our bestselling products (newer products might not have as many). Looking to leave a review? Only verified purchasers can leave a review through emails received after purchase or through the rewards program. This helps prevent spam on our site.